当前位置: 首页 > news >正文

基于局部显著位置感知的异常掩码合成方法在CT图像肺部疾病异常检测与病变定位中的应用|文献速递-深度学习医疗AI最新文献

Title

题目

Local salient location-aware anomaly mask synthesis for pulmonary disease anomaly detection and lesion localization in CT images

基于局部显著位置感知的异常掩码合成方法在CT图像肺部疾病异常检测与病变定位中的应用

01

文献速递介绍

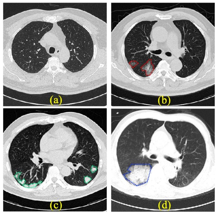
肺部疾病是全球发病率和死亡率最高的疾病之一,包括肺炎、慢性阻塞性肺疾病和肺癌等。肺炎因其高发病率和广泛影响而尤为显著,它是由病毒、细菌或真菌引起的严重感染,对全球数百万人的健康构成重大威胁(Dueck等人,2021)。例如,COVID-19是一种由冠状病毒引起的肺炎,最近肆虐全球,自2019年底以来迅速传播,对世界各地人们的健康造成了严重破坏(Feng等人,2020)。由于肺部疾病(尤其是肺炎)的高发病率和严重性,及时准确的检测对有效管理和干预至关重要。 在临床上,X射线和计算机断层扫描(CT)是疾病诊断、随访评估和病情演变评估中最常用的成像方式之一。与X射线相比,CT筛查因其高分辨率和肺部的三维视图而广受青睐(Fan等人,2020)。图1显示了几种肺炎疾病在CT轴位切片中的感染区域。从CT图像中可以清楚地观察到这些感染迹象,如早期的磨玻璃影(GGO),如图1(b)中的红色区域所示。这表明CT图像可以呈现清晰的病变特征,在肺部疾病检测中具有显著优势。因此,我们旨在开发一种基于CT检查的自动化、准确的筛查和病变检测模型,用于肺部疾病的早期预警。 近年来,由于卷积神经网络(CNNs)在医学图像特征提取方面的优势,许多基于深度学习的算法被提出用于通过CT扫描检测肺部疾病(Qian等人,2020;Wang等人,2020,2021;Harmon等人,2020;Hasija等人,2022)。例如,在CT解读任务中,Qian等人(2020)通过聚合CT切片和体积特征,构建了用于肺炎筛查的多任务多层深度学习系统。Wang等人(2020)通过引入注意力残差模块和多任务损失,构建了基于先验注意力的CT图像COVID-19筛查分类框架。Wang等人(2021)首次提出了用于COVID-19诊断和三维病变分割的联合深度学习模型。 然而,大多数肺部疾病检测模型需要专家标注进行监督,这无疑既耗时又费力。此外,由于难以收集罕见疾病数据,许多深度学习模型无法完全解决正常数据与疾病数据之间的不平衡问题(Gao等人,2020)。通过模型训练能够检测到的异常疾病仅限于那些已知并定义为训练目标的类型。相比之下,异常检测是一种无监督的单类分类任务,它在训练期间对数据分布进行建模,并在测试期间识别具有显著差异的异常。它减轻了对大量标记数据集的需求,并且在检测任何类型的罕见病变方面比监督方法具有更强的泛化能力(Lagogiannis等人,2023)。异常检测模型还允许对具有多个显著病变的数据进行病变可视化(Bercea等人,2022)。 目前,研究人员已经为医学和工业图像提出了许多异常检测方法(Tsai等人,2022;Liu等人,2023;Roth等人,2022;Defard等人,2021;Pol等人,2019;Kimura等人,2020;Li等人,2021)。这些方法主要包括基于重建的方法、基于特征的方法和基于合成的方法。基于重建的方法通常使用生成模型对正常样本的正常性进行建模,并检测测试样本中的偏差。例如,Pol等人(2019)和Kimura等人(2020)使用了一种变分自动编码器(VAE)(Kingma和Welling,2013)变体,该变体迭代地恢复输入图像,直到磁共振成像(MRI)/X射线异常区域被重建为正常区域。然而,如果异常数据与正常训练数据具有共同的组成模式,或者解码器对异常编码具有良好的泛化能力,那么图像中的异常很可能被很好地重建。基于特征的方法将正常特征编码到高维空间中,在该空间中,异常特征将远离嵌入空间中的正常簇。例如,Defard等人(2021)提出了PadiM,通过使用预训练模型和多元高斯分布嵌入来提取异常补丁特征。PatchCore(Roth等人,2022)首先建立了一个代表性的补丁特征库,然后通过计算测试样本特征与库特征之间的距离对输入特征进行评分。然而,由于医学图像的分布与自然图像不同,直接使用预训练可能导致分布不匹配。基于合成的方法通过在正常图像中合成异常来构建二元分类框架。例如,CutPaste(Li等人,2021)提出了一种用于异常检测的简单合成异常生成策略,该策略切割图像补丁并将其粘贴到原始图像的随机位置,从而训练网络区分合成图像和正常图像。然而,合成图像的分布通常无法提前获得,并且很难通过从图像补丁级别进行合成来近似或包含真实异常。目前,尽管CT图像在肺部疾病筛查中非常重要,但利用CT图像进行肺部疾病异常检测的工作却很少。由于其固有的复杂性,该任务面临以下挑战:在CT体积中,二维切片之间的肺区域纹理、大小和位置各不相同,这可能导致正常数据的分布存在较大差异;CT断层中正常数据的肺组织结构与病变区域相似,容易造成误判,难以检测小面积病变。 结合三种异常检测方法的优缺点,考虑到CT图像的固有复杂性,我们提出了一种新的用于CT图像的肺部疾病异常检测和病变定位框架。该框架利用基于重建和合成的方法,并进行了多项改进。所提出的框架使用矢量量化变分自动编码器(VQVAE)(Van Den Oord等人,2017)从训练图像中提取特征并将其存储在码本中。VQVAE可以存储局部特征,使网络能够忽略切片中不同肺大小引起的全局分布差异。提出了一种新的基于无监督特征统计的合成方法,在特征空间而非图像级别合成异常特征,该方法有效地破坏了局部区域的原始特征,提高了基于Transformer的特征分类网络对小区域病变的精确定位能力。此外,我们引入了一种新的残差邻域聚合特征分类损失,鼓励网络根据邻域特征忽略噪声样本的干扰,提高对异常特征的敏感性。我们的主要贡献总结如下: ∙ 提出了一种新的局部显著位置感知异常掩码生成和重建框架,用于CT图像异常检测和病变定位。该框架结合了图像重建和特征合成方法,通过局部异常合成和特征空间中的特征分类实现了准确的肺部异常检测。 ∙ 提出了一种新的基于无监督特征统计的合成方法,在特征空间而非图像级别合成异常特征,有效地破坏了局部区域的原始特征,提高了基于Transformer的特征分类网络对小区域病变的精确定位能力。 ∙ 提出了残差邻域聚合特征分类损失,鼓励网络根据邻域特征忽略噪声样本的干扰,从而提高对异常特征的敏感性。 ∙ 在一个内部CT数据集和一个公共数据集上对所提出的方法进行了严格的定量和定性验证。实验结果表明,所提出的方法在五种肺部疾病的图像级异常检测和病变定位方面优于其他最先进的方法。

Abatract

摘要

Automated pulmonary anomaly detection using computed tomography (CT) examinations is important for theearly warning of pulmonary diseases and can support clinical diagnosis and decision-making. Most trainingof existing pulmonary disease detection and lesion segmentation models requires expert annotations, whichis time-consuming and labour-intensive, and struggles to generalize across atypical diseases. In contrast,unsupervised anomaly detection alleviates the demand for dataset annotation and is more generalizable thansupervised methods in detecting rare pathologies. However, due to the large distribution differences of CTscans in a volume and the high similarity between lesion and normal tissues, existing anomaly detectionmethods struggle to accurately localize small lesions, leading to a low anomaly detection rate. To alleviate thesechallenges, we propose a local salient location-aware anomaly mask generation and reconstruction frameworkfor pulmonary disease anomaly detection and lesion localization. The framework consists of four components:(1) a Vector Quantized Variational AutoEncoder (VQVAE)-based reconstruction network that generates acodebook storing high-dimensional features; (2) a unsupervised feature statistics based anomaly featuresynthesizer to synthesize features that match the realistic anomaly distribution by filtering salient features andinteracting with the codebook; (3) a transformer-based feature classification network that identifies syntheticanomaly features; (4) a residual neighbourhood aggregation feature classification loss that mitigates networkoverfitting by penalizing the classification loss of recoverable corrupted features. Our approach is based ontwo intuitions. First, generating synthetic anomalies in feature space is more effective due to the fact thatlesions have different morphologies in image space and may not have much in common. Secondly, regionswith salient features or high reconstruction errors in CT images tend to be similar to lesions and are more proneto synthesize abnormal features. The performance of the proposed method is validated on one public datasetwith COVID-19 and one in-house dataset containing 63,610 CT images with five lung diseases. Experimentalresults show that compared to feature-based, synthesis-based and reconstruction-based methods, the proposedmethod is adaptable to CT images with four pneumonia types (COVID-19, bacteria, fungal, and mycoplasma)and one non-pneumonia (cancer) diseases and achieves state-of-the-art performance in image-level anomalydetection and lesion localization.

使用计算机断层扫描(CT)检查进行肺部异常自动检测对于肺部疾病的早期预警至关重要,且能为临床诊断和决策提供支持。现有大多数肺部疾病检测与病变分割模型的训练需要专家标注,这不仅耗时费力,而且难以对非典型疾病进行泛化。相比之下,无监督异常检测减轻了对数据集标注的需求,并且在检测罕见病变方面比监督方法具有更强的泛化能力。然而,由于CT扫描在体数据中分布差异大,且病变组织与正常组织高度相似,现有异常检测方法难以准确定位小病变,导致异常检测率较低。为解决这些挑战,我们提出了一种用于肺部疾病异常检测和病变定位的局部显著位置感知异常掩码生成与重建框架。该框架包含四个组件:(1)基于矢量量化变分自动编码器(VQVAE)的重建网络,用于生成存储高维特征的码本;(2)基于无监督特征统计的异常特征合成器,通过过滤显著特征并与码本交互,合成符合真实异常分布的特征;(3)基于Transformer的特征分类网络,用于识别合成的异常特征;(4)残差邻域聚合特征分类损失,通过惩罚可恢复损坏特征的分类损失来缓解网络过拟合。我们的方法基于两个直觉:首先,由于病变在图像空间中形态各异、共性较少,在特征空间生成合成异常更为有效;其次,CT图像中具有显著特征或高重建误差的区域往往与病变相似,更易合成异常特征。我们在一个包含COVID-19的公共数据集和一个包含63,610张五种肺部疾病CT图像的内部数据集上验证了该方法的性能。实验结果表明,与基于特征、合成和重建的方法相比,该方法适用于四种肺炎类型(COVID-19、细菌性、真菌性、支原体性)和一种非肺炎(癌症)疾病的CT图像,在图像级异常检测和病变定位方面均达到了最先进的性能。

Method

方法

2.1. Overall framework

In this section, we will introduce the proposed network as shownin Fig. 2. The proposed framework mainly consists of image reconstruction, anomaly feature synthesis, and feature classification network.In order to reduce the influence of non-lung regions on anomalydetection, we firstly implement the extraction of lung regions by usingthe U-Net model pre-trained on the Lung Image Database Consortium(LIDC) dataset (Armato III et al., 2011) to obtain the input image.We then constructed an image reconstruction network that maps theinput image to a high-dimensional space and represents the features ateach position of the latent vector. Specifically, we employ VQVAE toextract local features of the input image and store them in a codebook.For anomaly feature synthesis, we propose a novel synthesis approachbased on unsupervised feature statistics. This approach uses featurestatistics to select salient feature locations, and achieves local anomalyfeature synthesis by randomly replacing the features in the codebookwith clustering algorithms. This can improve the ability of the networkto accurately locate small regional lesions. In the feature localizationphase, we use a Transformer-based classification network to classifyabnormal and normal features. To reduce the overfitting of classification networks to the synthetic features in codebook, we propose a newresidual-aware feature classification loss. It encourages the networkto ignore the interference of synthetic noise samples and improve thesensitivity to abnormal features. Finally, we binarize and upsample thefeature classification results to obtain an abnormal region detectionmap.

2.2. Image reconstruction network

The framework first maps the image to a high-dimensional spaceand builds a normal sample feature repository. The normal samplefeature repository is used to synthesize abnormal features and constructa binary classification network to achieve the detection of realistic abnormal features. Currently, feature-based anomaly detection methodsconstruct feature repositories via pre-training networks on ImageNet,aiming to detect anomalies by comparing the distance between normal features and test features. However, there are domain differencesbetween CT images and photographic images, and it is difficult toconstruct representative local features relying on such pre-trainingmethods. In contrast to these methods, we use VQVAE to constructthe sample feature repository. Such method have two motivations. Thefirst is to quantify and store representative features of local locations.Typical generative models such as AE and VAE, encode continuousfeatures which fail to quantify and store these features. The secondis to provide patch features for the anomaly feature synthesis stage.The tissue structure within normal lungs is similar to that of abnormallung lesions, and using normal sample features to synthesize abnormalfeatures can improve the similarity between synthetic and realisticabnormalities.

 2.1 整体框架   在本节中,我们将介绍如图2所示的提出的网络。所提出的框架主要包括图像重建、异常特征合成和特征分类网络。为了减少非肺区域对异常检测的影响,我们首先使用在肺部图像数据库联盟(LIDC)数据集(Armato III等人,2011)上预训练的U-Net模型进行肺区域提取,以获得输入图像。然后,我们构建了一个图像重建网络,将输入图像映射到高维空间,并在潜在向量的每个位置表示特征。具体来说,我们使用矢量量化变分自动编码器(VQVAE)来提取输入图像的局部特征,并将其存储在码本中。   对于异常特征合成,我们提出了一种基于无监督特征统计的新型合成方法。该方法利用特征统计来选择显著特征位置,并通过聚类算法随机替换码本中的特征,实现局部异常特征合成。这可以提高网络对小区域病变的精确定位能力。在特征定位阶段,我们使用基于Transformer的分类网络对异常和正常特征进行分类。为了减少分类网络对码本中合成特征的过拟合,我们提出了一种新的残差感知特征分类损失,鼓励网络忽略合成噪声样本的干扰,提高对异常特征的敏感性。最后,我们对特征分类结果进行二值化和上采样,以获得异常区域检测图。

Conclusion

结论

In this paper, we propose an unsupervised pulmonary diseaseanomaly detection framework based on CT images. Anomaly detectionbased on CT images suffers from the following challenges: on the onehand, the distribution of CT scans in a volume varies greatly dueto the different sizes and locations of lung regions in a volume; onthe other hand, the structural characteristics of tissues within normallungs are similar to those of abnormal lung lesion, which may renderexisting anomaly detection methods struggling to accurately localizesmall regions. To alleviate these challenges, we propose a locallysalient location-aware anomaly mask generation and reconstructionframework for anomaly detection and lesion localization. The proposedmethod is a combination of reconstruction-based and synthesis-basedmethods with multi improvements. Firstly, we construct a VQVAEbased reconstruction framework that maps the CT image space to ahigh-dimensional feature space to obtain a feature dictionary codebook.A new anomaly feature synthesis strategy is proposed to identify salientlocation features and complete feature interaction in the codebookto synthesize features that match the realistic anomaly distribution.Finally, we propose a transformer-based feature classification networkto generate anomaly feature masks. In this network, a residual neighbourhood aggregation feature classification loss is proposed to mitigatethe overfitting of the network by penalizing the classification loss ofrecoverable corrupted features. The proposed method is validated onone local dataset and one public dataset (MIDRC).Unfortunately, there are some limitations of the proposed framework. Firstly, the proposed framework utilizes a 2D network to achievelung disease abnormality detection from 2D CT scan images, and hasnot yet performed abnormality characterization from the 3D level.Moreover, existing anomaly detection methods and the proposedmethod fail to accurately detect lung diseases with non-high densitylesions. The lesions of these rare diseases are hidden in the tissuestructure and require precise structural quantification to be captured. Infuture work, we will extend the proposed method to similar pathological diseases to assist clinicians in screening and pathological analysisof large-scale community-based diseases. We will consider integrating3D reconstruction post-processing or 3D convolutional networks intothe existing framework to enhance the detection of 3D lesions, thussupporting clinical diagnosis and analysis more comprehensively. Inaddition, we will add the overall structural distribution modelling tothe anomaly detection framework for non-high density lesion diseasedetection, thus expanding the scope of clinical applications.

在本文中,我们提出了一种基于CT图像的无监督肺部疾病异常检测框架。基于CT图像的异常检测面临以下挑战:一方面,由于肺部区域在体数据中的大小和位置不同,CT扫描的分布差异较大;另一方面,正常肺部组织的结构特征与异常肺部病变的结构特征相似,这可能导致现有异常检测方法难以准确定位小区域病变。为了应对这些挑战,我们提出了一种局部显著位置感知的异常掩码生成和重建框架,用于异常检测和病变定位。该方法结合了基于重建和合成的方法,并进行了多项改进。首先,我们构建了一个基于矢量量化变分自动编码器(VQVAE)的重建框架,将CT图像空间映射到高维特征空间,以获得特征字典码本。提出了一种新的异常特征合成策略,用于识别显著位置特征并在码本中完成特征交互,以合成符合真实异常分布的特征。最后,我们提出了一种基于Transformer的特征分类网络来生成异常特征掩码。在该网络中,提出了一种残差邻域聚合特征分类损失,通过惩罚可恢复损坏特征的分类损失来缓解网络的过拟合。我们在一个内部数据集和一个公共数据集(MIDRC)上对所提出的方法进行了验证。 遗憾的是,所提出的框架存在一些局限性。首先,该框架利用二维网络从二维CT扫描图像中实现肺部疾病异常检测,尚未从三维层面进行异常表征。此外,现有异常检测方法和所提出的方法均无法准确检测非高密度病变的肺部疾病。这些罕见疾病的病变隐藏在组织结构中,需要精确的结构量化才能捕捉到。在未来的工作中,我们将把所提出的方法扩展到类似的病理疾病,以协助临床医生进行大规模社区疾病的筛查和病理分析。我们将考虑将三维重建后处理或三维卷积网络集成到现有框架中,以增强对三维病变的检测,从而更全面地支持临床诊断和分析。此外,我们将在异常检测框架中添加整体结构分布建模,以用于非高密度病变疾病的检测,从而扩大临床应用范围。

Figure

图片

Fig. 1. Illustration of different types of pneumonia. (a) A sample of normal CT images;(b) a sample of COVID-19 with ground-glass opacity lesions (red outlined regions); (c)a sample of bacterial pneumonia with consolidation lesions (green outlined regions);(d) a sample of fungal pneumonia with nodular lesion (blue outlined region)

图1. 不同类型肺炎的示意图   (a) 正常CT图像示例;   (b) 新型冠状病毒肺炎(COVID-19)示例,伴磨玻璃密度影病变(红色轮廓区域);   (c) 细菌性肺炎示例,伴实变病变(绿色轮廓区域);   (d) 真菌性肺炎示例,伴结节性病变(蓝色轮廓区域)

图片

Fig. 2. Overview of the proposed framework for anomaly detection in CT slices.

图2. CT切片异常检测框架示意图

图片

Fig. 3. Architecture of the feature classification network

图3. 特征分类网络架构图

图片

Fig. 4. Testing process of the anomaly detection in CT images

图4. CT图像异常检测的测试流程

图片

Fig. 5. Lesion localization results of different methods over six randomly selected images. The first two rows represent localization results of samples with lung cancer, the thirdand fourth rows represent localization results of samples with fungal pneumonia, and the fifth and sixth rows represent localization results of samples with mycoplasma. The lasttwo rows represent localization results for COVID-19 from MIDRC.

图5. 不同方法在六张随机选择图像上的病变定位结果。前两行显示肺癌样本的定位结果,第三和第四行显示真菌性肺炎样本的定位结果,第五和第六行显示支原体肺炎样本的定位结果,最后两行显示来自MIDRC的COVID-19样本的定位结果。

图片

Fig. 6. Lesion localization ablation results of different modules in our method. Thefirst row represents localization results of samples with lung cancer, the second rowrepresent localization results of samples with fungal pneumonia, and the third rowrepresents localization results of samples with mycoplasma. The last row representsthe localization results of sample with COVID-19 from MIDRC.

图6. 我们方法中不同模块的病变定位消融结果。第一行显示肺癌样本的定位结果,第二行显示真菌性肺炎样本的定位结果,第三行显示支原体肺炎样本的定位结果,最后一行显示来自MIDRC的COVID-19样本的定位结果。

Table

图片

Table 1Image-level performance of the anomaly detection by different methods on the local dataset

表1 不同方法在内部数据集上的图像级异常检测性能

图片

Table 2Pixel-level performance of the anomaly detection by different methods on the local dataset

表2 不同方法在内部数据集上的像素级异常检测性能

图片

Table 3Subgroup analysis in terms of WSI materials on multiple tasks of molecular markersand histology prediction, as well as glioma classification

表3 基于全玻片图像(WSI)样本类型的分子标记与组织学预测及胶质瘤分类多任务亚组分析

图片

Table 4Ablation studies of the proposed method for image-level anomaly detection on the local dataset.

表4 所提方法在内部数据集上的图像级异常检测消融研究

图片

Table 5Ablation studies of the proposed method for pixel-level anomaly detection on the local dataset.

表5 所提方法在内部数据集上的像素级异常检测消融研究

图片

Table 6Ablation studies of the proposed method for image-level and pixel-level anomaly detection on the MIDRC dataset

表6 所提方法在MIDRC数据集上的图像级和像素级异常检测消融研究

图片

Table 7Performance of anomaly detection on the MIDRC dataset with different image sizes.

表7 不同图像尺寸在MIDRC数据集上的异常检测性能

http://www.dtcms.com/a/201009.html

相关文章:

  • 1.portainer
  • AGI大模型(28):LangChain提示模板
  • C++多态的详细讲解
  • CoT(Chain-of-Thought,思维链)推理
  • 【Pandas】pandas DataFrame pct_change
  • 基础知识:Python类里面的@property装饰器的作用
  • 909. 蛇梯棋
  • NODEEDITOR
  • idea 安装飞算-javaAI 插件使用
  • AG-UI 协议是什么?MCP、A2A 后,AI 领域又新增 AG-UI 协议
  • 初识 java
  • Kubernetes in action-配置和应用升级
  • 关于 Web 漏洞原理与利用:2. XSS(跨站脚本攻击)
  • 斜齿轮直列齿轮箱市场分析报告:驱动因素、挑战及前景预测
  • 初学c语言16(内存函数)
  • 【Fine-Tuning】大模型微调高阶技术点概要
  • 【Unity】Unity中将字典序列化
  • YOLO模型predict(预测/推理)的参数设置
  • Java集合框架解析:从基础到底层源码
  • 题目练习之综合运用
  • 【PhysUnits】4.4 零类型(Z0)及其算术运算(zero.rs)
  • 《解锁具身智能社交密码:文化适配算法探秘》
  • 小目标检测层优化+多模态数据增强——YOLOv5在油气管道环焊缝缺陷识别的创新应用
  • SymPy | 隐函数导数求解:从基础到高阶的完整指南
  • 卓力达手撕垫片:精密制造的创新解决方案与多领域应用
  • docker运行Redis
  • 基于DeepSeek的智能客服系统实践与创新
  • 【Game】Powerful——Punch and Kick(12)
  • C+++STL(一)
  • Linux 内核等待机制详解:prepare_to_wait_exclusive 与 TASK_INTERRUPTIBLE