当前位置: 首页 > news >正文

案例分享 |高质量数据服务赋能智慧医疗3.0时代

以大模型为代表的生成式人工智能技术让智慧医疗迈入3.0时代,促进了优质医疗资源的再分配。作为智慧医疗的“大脑”,医疗大模型智能调度覆盖医学类文本、病理图像等多种数据模态的专用模型,可辅助医生完成跨科室、跨模态的复杂诊断推理。

然而,要让医疗大模型发挥出其强大的功能,高质量的训练数据采集及标注服务是至关重要的基础。数据堂在医疗大模型领域历经数百个数据服务案例,支持采集医学多类型数据,精准匹配专业医学背景标注团队,为医疗大模型筑牢数据根基。

案例分享(一)

图文对数据标注图文对数据标注

项目概述

客户是国内一家热门的医疗大模型开发团队,正在布局多模态医疗大模型。客户需要标注数十万组医疗图文对数据,包含各类病理图片以及相应的客观文字描述。

挑战

不同于一般行业,医疗行业的图文对数据标注往往需要专业的医学人员来完成。且其中包含个人隐私相关数控,如何确保隐私数据不被泄露至关重要。

结果

数据堂制定并严格遵守完善的隐私保护管理措施。在标注作业前,就已完成自动化数据脱敏操作。数据标注平台严格限定各角色权限,标注员只能进行标注操作,数据处理全流程严格遵守患者隐私保护规制。

案例分享(二)

病例文本标注病例文本标注

项目概述

为提升医疗大模型的病历编码精度,客户需要数据堂对脱敏后的入院记录、出院记录、诊疗经过、病理报告、病程记录、收费清单、手术记录等不同类型的病历文本进行标注。

挑战

客户要求标注人员具备病案管理学专业知识,且出于对患者隐私的考虑,标注人员需要驻场实施。多人协作进行病例文本编码标注时,可能会由于专业知识不够、缺乏细致的标注准则而导致漏标、错标等。

结果

数据堂项目团队凭借多年医学项目标注的实战经验及强大的医学资源招募能力,迅速遴选出500人次的医疗专业标注人员。针对此次项目,数据堂制定详尽的规范手册,整个团队在高效协作的氛围中,提前交付数据。

案例分享(三)

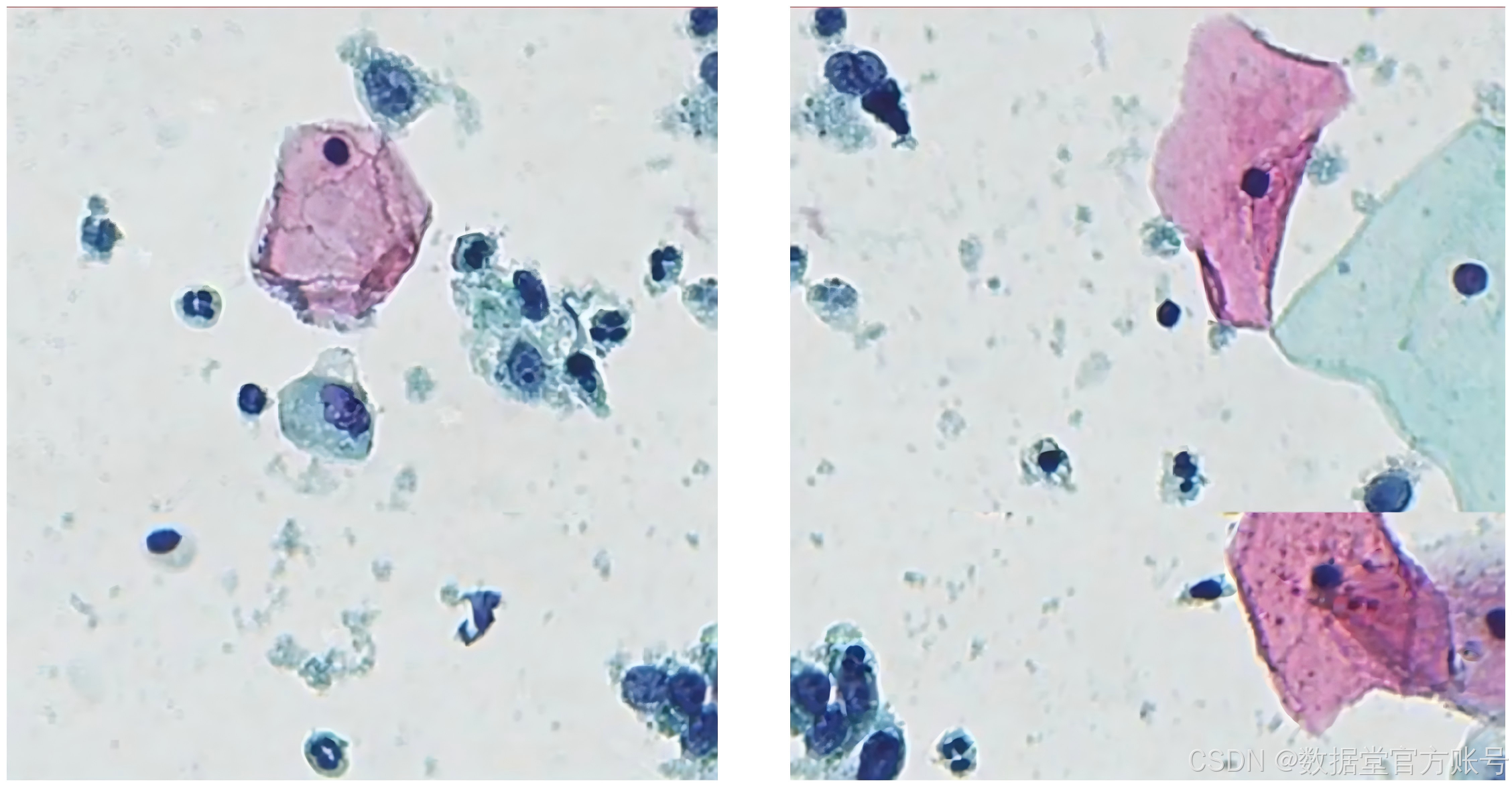
宫颈细胞图片标注宫颈细胞图片标注

项目概述

客户需要对肿瘤检测仪器进行智能化升级,以提高早期筛查效率。项目要求对宫颈细胞中的多种异常细胞进行标注,总数量12万张。客户期望在1个月内完成数据交付。

挑战

由于时间紧迫,并需对多种细胞进行对应标注,因此,需要大量专业领域内人员在短期内高效完成标注任务并确保标注质量。

结果

数据堂自研数据标注平台内嵌预识别能力,将标注效率提升了30%。通过智能化预标注及专业标注员交叉质检的方式,以低廉的成本提前完成数据标注,最终全量验收通过。

案例分享(三)

骨龄图像采标骨龄图像采标

项目概述

客户要求采集并标注数万张骨龄片,性别及人口比例平均分布,主要标注骨骺、干骺端等骨骼标志点。

挑战

采集时需确保图像清晰、位置准确,避免伪影干扰,因此需要专业的采集人员把控质量。标注时需要考虑个体发育差异,要准确识别众多骨骼部位标志点,难度较大。

结果

数据堂以高性价比的成本,帮助客户超预期完成了数据采集任务。此次项目专用的标注团队均具备医疗专业背景及医疗行业的标注经验,最大程度保证了标注的准确度。

结语

数据堂的专业服务,为医疗大模型赋予了强大的数据支撑,推动了智慧医疗的变革。未来,数据堂期待与医疗行业的同仁们携手共进,持续提升数据采集及标注服务的质量和水平,共同促进智能医疗的蓬勃发展,为人类健康事业贡献更多力量。

原文链接:案例分享 |高质量数据服务赋能智慧医疗3.0时代

http://www.dtcms.com/a/60691.html

相关文章:

  • 【嵌入式设备】滑动变阻器使用方式
  • eBPF初了解
  • 文章集锦-值得反复修订的文章
  • 我眼中的无服务架构:云时代的创新引擎
  • wordpress两个网站用同一个数据库的实现方法
  • 取反符号~
  • deepseek的regflow安装mac版本
  • 第十章:C++ 标准
  • 设备预测性维护指的是什么 设备预测性维护的基本功能
  • 【量化科普】Correlation,相关性
  • 多视图几何--恢复相机位姿/内参的几种方法
  • [数据结构]堆详解
  • 【网络协议详解】——路由策略技术(学习笔记)
  • 微前端之 Garfish.js 的基础使用教程和进阶配置
  • HAL库常用函数
  • (枚举专题)排列数枚举
  • C语言零基础入门教程(1)
  • LM Studio 替换源的方式解决huggingface.co无法访问的问题
  • 动态规划填表技巧:固定最后一个数 vs 固定倒数第二个数
  • 6、通过husky规范commit提交信息
  • 多视图几何--结构恢复--三角测量
  • A523 527 pk口控制
  • Linux密码策略
  • 华为OD机试九日集训第1期 - 按算法分类,由易到难,循序渐进,提升编程能力和解题技巧,从而提高机试通过率(Python/JS/C/C++)
  • QQuick3D-Camera的介绍
  • TCP/IP原理详细解析
  • JavaScript 中 this 绑定丢失的陷阱:从 “is not a function“ 错误谈起
  • 处理动态分页:自动翻页与增量数据抓取策略-数据议事厅
  • 网络tcp协议设置,网络tcp协议设置不了
  • Linux笔记之通配符和正则表达式的区别