WPACS基于HTML5的DICOM影像浏览
功能概述
- 随时随地在任意移动终端或PC上通过浏览器调阅原始海量医学影像图像
- 客户端无需任何下载安装,直接通过浏览器即可使用并处理基于DICOM标准的高保真医学影像
- 系统遵循DICOM3.0国际标准
- 支持DICOM STORE/QR/WORKLIST/MPPS/PRINT等SCP/SCU
- 纯绿色软件无需安装使用方便,也可和现有PACS系统级联提供基于WEB的临床影像浏览
- 支持x86架构CPU(Intel, AMD, 海光、兆芯等)以及ARM架构CPU(鲲鹏、飞腾等) 服务器
- 支持windows 和 Ubuntu, CentOS, Fedora, Debian, UOS(Deepin), OpenEuler,麒麟OS等Linux平台部署
- 支持私有化部署,多级存储, 可采用JPEG /JPEG2000无损压缩技术提高空间的利用率
- 支持心电DICOM,心电图浏览和处理(显示格式、纸速、增益、滤波、测量等)
- 支持DICOM RT浏览: ROI轮廓线、ISODOSE等剂量线、DVH剂量容积直方图等;
- 支持MPR、CPR、MIP、VR、VE三维图像处理;支持三维裁剪切割 / 一键去床
- 支持PEPTCT融合,三维MPR/MIP融合; XA数字减影;影像增强;
- 支持数字病理切片显示,SR结构化报告显示、PR一致性显示,KO关键影像显示
- 支持sqlserver / mysql / postgreSQL / oracle / sqlite / 达梦等多种主流数据库
- web前端支持IOS、android、鸿蒙OS、windows、linux等包含现代浏览器的任意系统平台
- 前端DICOM Viewer为HTML组件模式,可方便的嵌入任意web页面内
- ...... 更多 www.h5pacs.cn
一、主要功能介绍
布局: 任意序列图像格布局,任意多序列格布局; 支持标准布局、行布局、列布局;支持序列联动、多序列联动以及复选/关键影像联动;
调窗: 默认窗,全动态窗,自适应窗,线性调窗,非线性调窗,ROI调窗,Sigmoid曲线调窗, 预设窗宽窗位,自定义输入窗宽窗位
缩放: 无级缩放;, true size显示;,100%显示, 自适应窗口,局部放大镜(慧眼),鹰眼全貌图;
处理: 裁剪、负像、伪彩、镜像,滤波、锐化、增强、左/右旋、任意旋转、旋转复位、petct融合、XA减影、灰度直方图、显隐文字标尺、DICOM信息显示等;
对比: 序列批分; 多序列按切片位置自动同步对比浏览;浏览不同平面的系列图像时,自动显示交叉定位线可更好地展示相互间的关系; 浏览不同平面的系列图像时,可实时显示平面上任意一点在其它平面上的空间位置(三维空间定位)
打印:所见即所得排版打印; 任意胶片排版布局,支持嵌套布局,支持多胶片不同布局,支持布局模板; 支持多帧图像自动拆分,支持排版图像拖拽交换和插入;支持打印任务保存和加载;支持纸质打印预览,支持打印输出为PDF;
测量:CT值测量、直线、折线、矩形、圆/椭圆、角度、指示箭头、文字标注、任意多边形、任意轮廓、心胸比、偏差测量、磁力铅笔、魔术棒等;可显示面积、周长、最大值、最小值、均值,SD均方差测量结果;测量元素可任意修改、编辑;
三维:MPR多平面重建(支持任意旋转)、CPR任意曲线切面重建、MIP最大密度、VR容积重建、VE虚拟内窥;任意三维裁剪、一键去床、一键去头骨、快速旋转、厚切MPR(最大密度/最小密度/均值/VR); 手工/半自动分割,分割目标三维渲染; 肋骨CPR拉伸渲染、牙神经管渲染、血管CPR拉直渲染等
心电:心电DICOM浏览处理、心电滤波、心电测量、心率测量、显示心电参数;可调整心电显示增益、纸速、格式,Grid等;
放疗:DICOM RT浏览显示;ROI Structs显示、DVH曲线计算显示、ISO等剂量线显示;支持3D浏览,支持任意MPR平面重建显示ROI Structs和ISO等剂量线;
病理:全数字病理切片显示浏览;缩放、移动、测量、标注、标记、统计等
其它: PR(GSPS灰度一致性显示)加载管理、KO加载管理、SR结构化报告浏览、MPEG视频DICOM浏览、支持DICOM Shutter显示、支持DICOM Overlay图层显示、MG乳腺自动悬片显示、用户自定义图像处理、X光长骨拼接等;
二、基本功能操作和截图

工具棒区域按钮菜单可任意配置,同时支持不同的图像类型或不同屏幕大小配置不同的按钮菜单布局
点击缩略图标题栏 折叠/展开 当前检查缩略图;点击 "关于" 按钮查看当前wpacs当前版本以及浏览器信息,改变工具棒停靠位置
多序列窗口布局时拖动序列窗格边框可改变窗格cell的大小

鼠标移动到序列浏览区下方 显隐序列浮动工具棒(工具棒上按钮用户可自定义配置);
触摸屏点击序列浏览区左下角可弹出序列浮动工具棒并固定;

序列浮动工具棒可播放序列或当前多帧图像,改变播放速率; 多序列布局时可在1x1序列布局和当前序列布局之间切换;
其它基本操作说明:
工具棒按钮如果变灰不可点击,说明当前序列或图像不支持此功能操作
默认鼠标左键按下上下滑动缩放图像, 右键按下调窗; 左右键同时按下移动图像;缩放总是以当前鼠标按下位置为缩放中心
点击缩略图: 在空白序列窗格 或 当前序列窗格显示此序列;点击时按下ctrl则如果没有空白序列窗格则追加显示此序列
拖动缩略图: 在drop序列格显示此序列。如果此序列已显示则交换显示序列格, drop时如果按下ctrl 则复制显示该序列;
双击图像: 1x1图像布局和当前图像布局之间切换; 如果当前序列仅一张图像且为1x1图像布局则在1x1序列布局和当前序列布局之间切换;
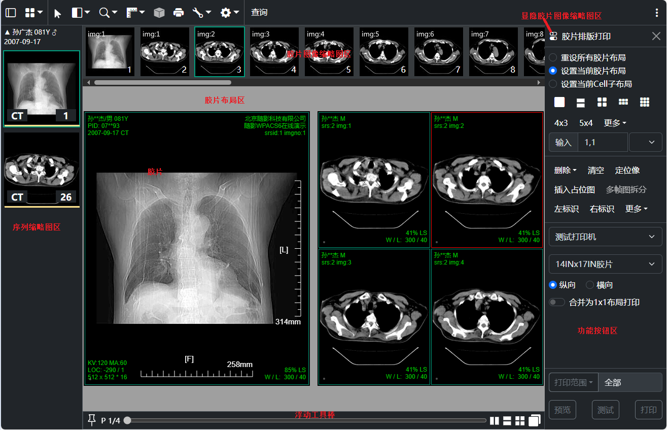
三、胶片打印和排版

胶片功能按钮区的按钮、菜单以及打印机列表和胶片列表用户可自定义修改配置;
拖到序列缩略图到胶片排版窗口可追加当前序列图像到胶片; 拖到胶片图像缩略图上可在当前图像之前或之后插入此序列所有图像;
胶片图像缩略图区域的图像会顺序布局到胶片上;可以针对每个胶片做不同的排版布局同时支持嵌套布局
拖动胶片图像缩略图到其它胶片缩略图上可在其之前 / 之后插入拖动图像(拖动时按下ctrl则复制拖动图像然后插入) 或者 和 拖动图像交换位置;
拖动胶片图像缩略图到胶片的cell格则在此cell格显示此图像,相当于和当前cell格上的图像交换位置
拖动胶片图像缩略图到胶片布局区则从胶片排版窗口删除此图像; 还支持删除胶片图像,清空图像删除指定序号图像等等
支持保存布局模板: 用户可在自定义按钮事件中保存当前胶片布局信息;后续可加载保存的布局模板
支持胶片重打或重现: 用户可在自定义按钮事件中保存当前胶片任务信息;后续可加载重现当前排版布局以及显示效果
四、全数字病理切片功能操作和截图


默认滚轮缩放,鼠标左键按下移动,鼠标右键按下缩放;鹰眼全貌图点击显示指定位置,按下拖动显示区域到指定位置
支持 DICOM格式 WSI数字病理切片 以及 主流厂家数字病理切片格式
Aperio (.svs, .tif), Hamamatsu (.vms, .vmu, .ndpi), Leica (.scn), MIRAX (.mrxs),Philips (.tiff),
Sakura (.svslide),Trestle (.tif),Ventana (.bif, .tif),Zeiss (.czi),Generic tiled TIFF (.tif)
五、心电DICOM功能操作和截图

默认滚轮滚动时间轴;右键实时调整纸速和增益;左键测量显示X轴时间和Y轴增益偏差
六、放疗DICOMRT浏览功能操作和截图

ISO等剂量线百分比显示选择用户可自定义配置;
自动计算并显示DVH曲线;拖动DVH图上的竖线可显示ROI曲线上指定剂量的容积和容积百分比
DVH图缩放与移动: 鼠标右键按下上下滑动或鼠标滚轮滚动可实现DVH的放大和缩小功能,放大状态下按住鼠标左键拖动可移动DVH的显示区域

鼠标右键点击MPR窗口左下 切片位置指示器 可显隐十字交叉线; 左键点击MPR复位
拖动MPR窗格边框可改变cell格大小;点击MPR窗口右上颜色块可AXIS/CORO/SAGI显示切换
七、PET CT / MR融合功能操作和截图
二维融合,三视图显示;滚动滚轮三个序列窗口联动;

三维融合; 支持 MPR 9窗口视图;MPR+MIP 12窗口视图; (AXIS或CORO或SAGI)切片+MIP 6窗口视图

PT序列MIP窗口滚轮默认水平旋转; 其它序列MIP窗口滚轮默认缩放
PT序列MIP窗口左键默认缩放; 融合序列MIP窗口左键默认移动; CT序列MIP窗口左键默认旋转

点击MPR窗口右上角颜色块可AXIS轴位、CORO冠位、SAGI矢位切片切换
鼠标右键点击MPR窗口左下 切片位置指示器 可显隐十字交叉线; 左键点击MPR复位
鼠标左键点击MIP窗口左下 三维旋转状态指示器 可快速旋转到指定面; 右键点击三维旋转复位
PT序列MIP窗口拖动 "绿色X" 自动计算并定位最大SUV点位置并定位十字交叉线刷新显示MPR
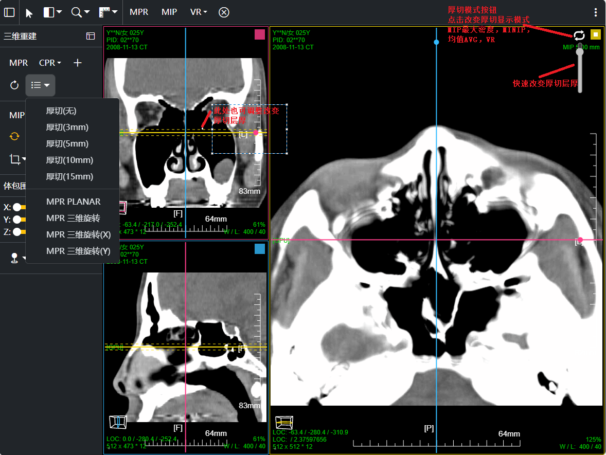
八、三维浏览功能操作和截图

左键双击MPR窗口可在MPR三窗口和1x1窗口间切换;三维渲染窗口左键双击在在1x1视图模式和当前视图模式切换

点击MPR窗口右上角颜色块可AXIS轴位、CORO冠位、SAGI矢位切片切换
鼠标右键点击MPR窗口左下 切片位置指示器 可显隐十字交叉线; 左键点击MPR复位
鼠标左键点击MIP窗口左下 三维旋转状态指示器 可快速旋转到指定面; 右键点击三维旋转复位
厚切支持MIP最大密度 、MINIP最小密度、AVG均值密度、以及VR渲染
改变厚切层厚:1、预设层厚菜单(可配置) 2、拖动滑块快速改变 3、拖动十字交叉线上的层厚虚线

CPR曲面重建 、厚切曲面;

VR容积渲染;鼠标右键默认实时调整当前VR传输函数
支持VR传输函数预设配置; 支持用户自定义配置调整传输函数;
支持自由裁剪切割: 支持自由画笔 和 多边形轮廓选择裁剪区域模式
支持体包围盒裁剪: MPR蓝色mask区域位当前体包围盒设定有效区域
传输函数配置鼠标操作:滚动鼠标滚轮可改变当前X轴阈值范围
双击增加节点; 鼠标右键单击删除指定节点;左键可拖动节点或传输函数;

MIP 最大密度投影渲染: 鼠标右键默认实时调窗


鼠标滚轮改变切片位置


VR渲染一键去床体:为提高去床速度,可先进行体包围盒裁剪选择含有床体的部分然后点击一键去床功能
注: 部分检查床体可能不能完全去床干净,可继续通过手工自由裁剪的方式进行去除;


VR渲染一键去头骨:首先进行体包围盒裁剪选择头颅部分限制区域生长范围,然后点击一键去头骨功能
去除头骨后,取消体包围盒裁剪即可;其它操作同vr渲染操作,譬如右键微调VR传输函数,左键三维旋转等


VE虚拟内窥; MPR十字交叉点移动到空腔处,点击右下角VE图标按钮, 进入虚拟内窥模式
图像中心为当前十字交叉点的位置,滚轮前后滚动则沿视线方向前进、后退;
三维旋转立方体(图示1)指示当前视线方向, 旋转模式时鼠标左键按下移动则调整视线方向
左下的三维旋转状态指示器指示的几位当前视线方向; 上图视线方向为从头(H)向下方向
默认鼠标左键旋转视线方向; 鼠标右键微调改变渲染函数

1、首先菜单 选择 "路径点手工标记":在MPR平面上依次标记空腔管径的中心
2、标记完成后点击 "VE自动路径漫游":VE显示当前路径起始点位置,视线方向为路径方向
默认会沿路径自动前进,也可滚轮滚动手工沿路径前进后退;
3、点击自动前进按钮(图示3),可暂停/开始自动路径前进
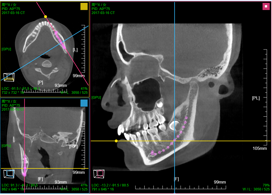
九、牙神经管标记
打开CBCT图像; 菜单 选择 "路径点手工标记"
MPR调整到合适的位置,显示处神经管,点击进行神经管标记

进入三维渲染模式(MIP或VR),然后点击菜单 ”神经管渲染显示“


也见视频操作录像 牙神经管标记
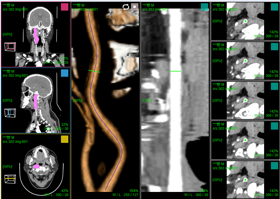
十、血管CPR曲面拉伸拉直
打开血管增强造影序列; 菜单 选择 "路径点手工标记"
在MPR切片上选取2个血管中心点,确定血管起始位置和前进方向

菜单 选择 "血管中心辅助提取"

滚轮下滚则则沿当前方向前进自动检测下一个血管中心位置和检测到的大小(图示5 圆为检测血管半径,红点为中心; 绿点为重建血管垂直切面中心)
滚轮上滚则回退并删除当前检测的血管中心点
鼠标滚轮在重建血管垂直切面右侧(图示3)上下滚动 则调整切面X轴方向以便切面和血管垂直, 在MPR上可看到该切面和血管的交线(绿线)
鼠标滚轮在重建血管垂直切面下侧(图示4)上下滚动 则调整切面Y轴方向以便切面和血管垂直, 在MPR上可看到该切面和血管的交线(绿线)
鼠标左键按下并移动则拖动改变当前检测血管中心点的位置,滚轮在检测点(红点)上滚动则调整检测的血管半径大小(仅仅确定前进步长用)
点击自动前进并检测(图示2) 则程序自动沿血管中心路径前进并检测记录中心点位置;如果检测失败则停止前进,需手工干预调整
注:自动检测前进时 还可通过包围盒裁剪设定检测截至范围

血管中心检测提取结束后,菜单 选择 "血管CPR拉直渲染"

窗口1:MPR窗口
窗口2:血管CPR拉伸; 窗口3:血管CPR拉直; 窗口4:当前血管位置(绿线)垂直重建切片和前后切片
滚轮在窗口2和窗口3上滚动可调整 当前血管位置(绿线, 图示5)
滚轮在窗口2和窗口3 右侧上下滚动 则可沿血管中心360旋转CPR
窗口2:血管CPR拉伸 支持厚切,可开启厚切

也见视频操作录像
血管中心辅助提取_CPR拉伸拉直渲染
十一、X光图像 拼接


X光图像拼接窗口: 支持自动拼接、手工拼接、拼接图像保存、拼接图像上传功能;支持触发拼接图片上传完成事件
拖到序列缩略图到拼接显示窗口添加待拼接图像,显示再带拼接图像缩略图区域;
拖动待拼接图像缩略图到其它缩略图上可在其之前 / 之后插入拖动图像 或者 和 拖动图像交换位置;
拖动待拼接图像缩略图到拼接显示窗口则删除此待拼接图像;
十二、更多功能截图
肋骨CPR拉伸展开


一键去头骨

分割渲染

CTMR配准融合


十三、二次开发扩展
WPACS前端界面按钮和菜单用户都可以方便的自由定义配置
可以根据不同的用户不同的设备类型配置不同的按钮和菜单
每个按钮或菜单功能都有对应的前端JSAPI接口,方便用户进行扩展
支持用户自定义按钮或菜单项配置,用户可在自定义按钮/菜单事件里调用JSAPI或其它处理
WPACS前端浏览对象提供丰富的接口以及事件,方便用户进行二次扩展开发
打开检查, 定位图像, 获取图像信息, 加载/获取测量元素等 ...
检查打开事件,胶片打印事件, 测量元素事件,图像刷新显示事件, 三维打开关闭事件等等 ...
支持用户扩展图像处理,用户对显示的图像进行自定义图像处理或调用内置图像处理
同时系统内置丰富的图像处理功能,包括
形态学滤波: 腐蚀, 膨胀, 开运算, 闭运算, 顶帽运算, 黑帽运算,梯度运算,百分位运算
增强: 直方图均衡增强,自适应直方图均衡增强, 对比度增强, 局方差自适应对比度增强, 自动色彩均衡ACE, 去雾, 低照度彩色图像的增强
滤波: 局方差滤波, 自适应滤波, 双边滤波,各向异性扩散滤波, 均值滤波, 高斯滤波, 二项式滤波
锐化: USM锐化, 拉普拉斯锐化, 梯度锐化
边缘检测: 拉普拉斯边缘, LoG边缘检测, DoG边缘检测, 差分边缘检测, 均匀性边缘检测, canny边缘检测
噪声: 自适应中值去噪, 保守平滑去噪, TV(总变分)去噪, 局方差去噪, 椒盐噪声, 加性噪声, 高斯噪声
卷积:指定卷积核的任意二维一维卷积处理(譬如浮雕效果等)
分割:自动阈值(大津法|迭代法|最大熵|模糊集), 二值化, 空洞填充, 轮廓提取, MarchingSquares
其它: 缩放, 灰度拉伸, 边缘扩展(复制|反绕|wrap|镜像|常量), shared matting抠图, ...
